 
 
Access To Our Bespoke & Exclusive Specialist Lung Screening Service
Specialist Lung Health Assessment
Why choose Vista Health?
- 
                        
                        Affordable Only £495. Assurance at an affordable price. 
- 
                        
                        Conveniently Located Specialist Lung Health Assessments are available at our diagnostic centres in Milton Keynes, Central London and Salford, Manchester. 
- 
                        
                        Fast Access Appointments Quick access with affordable & accessible appointments. 
Specialist Lung Health Assessment
We offer bespoke Specialist Lung Health Assessments in the UK. We have partnered with some of the country’s leading Consultant Cardiothoracic Radiologists to deliver a bespoke subspecialist approach to the early diagnosis of lung conditions.
Using innovative technology, you will receive a rapid reliable specialist report within 3 working days.
What is involved in the specialist lung health assessment?
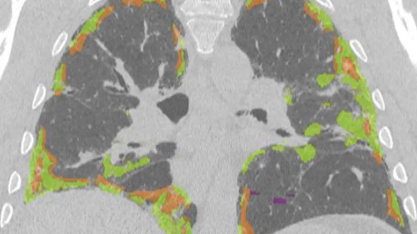
Our specialist lung assessment is used to diagnose a wide range of lung conditions utilising the expertise of specialist Cardiothoracic Radiologists and low-dose CT.
Our lung health assessment includes:
- Initial assessment questions to determine the suitability of CT – reviewed by Consultant Radiologist
- Lung health check utilising low-dose CT
- Specialist report aided by Artificial Intelligence - for nodule detection and volumetry to guide management
- Results delivered within three working days
Post COVID-19
As we continue to learn about the long-term impact on the lungs following COVID-19, it is clear there is a potential risk of scarring and reduced lung function. For those with concerns following recovery from COVID-19 the Vista Health Specialist Lung Health Assessment is a good way to assess the lungs and engage the expertise of a specialist radiologist who will be able to advise on any existing pathology or the merits of further investigation.
 
Why would you need a Specialist Lung Health Assessment?
- 
                        
                        Diagnose conditions To identify lung conditions before a person develops symptoms. Early detection may improve treatment outcomes. 
- 
                        
                        Observe conditions Determine the shape and size of any tumours or nodules. 
- 
                        
                        Detection of other ailments We can detect other illnesses such as infection and emphysema that may contribute to respiratory symptoms. 
- 
                        
                        Determine effects of past health problems The lung assessment will be able to assess the impact on the lungs of past health problems such as COVID-19. 
Meet the team
Expert Clinical Team
 
Dr Sam Hare
Dr Sam Hare is a Consultant Cardiothoracic Radiologist and Treasurer of the British Society of Thoracic Imaging. He has won several industry awards for chest radiology – including the NHS Innovation Cancer Challenge Prize & BMJ Cancer Team of the Year.
 
Dr Graham Robinson
Dr Graham Robinson is a Consultant Cardiothoracic Radiologist, President of the British Society of Thoracic Imaging and President elect to the Radiology Council of the Royal Society of Medicine.
How much will a specialist lung health assessment with Vista Health cost?
| Label and description | Value | 
|---|---|
|  Specialist lung health assessment The price includes a full written report within three working days. | £495 | 
Frequently asked questions
If you have any questions then please do contact our friendly and knowledgeable Patient Care team on 0333 242 6887 or have a look at our Frequently Asked Questions to answer any concerns you may have about having a Specialist Lung Health Assessment with Vista Health.
What is included in a specialist lung health assessment?
Using the combined expertise of CT and specialist Cardiothoracic Radiologists, our specialist lung health assessment is used to assess and diagnose a wide variety of lung conditions. The assessment includes initial questions to evaluate your suitability for the assessment, lung cancer screening and a specialist report aided by Artificial Intelligence.
How can I book a specialist lung health assessment?
To book a specialist lung health assessment, please complete our online consultation form here. Our Consultant Radiologist will review and assess the information provided to determine your suitability for the lung health assessment.
Why may I require a specialist lung assessment?
You may require a specialist lung assessment for the diagnosis and management of the cardiovascular and thoracic disease.
It may also be used to: diagnose lung cancer before a person develops symptoms; determine the shape, location and size of tumours; examine the size of tumours; check how well treatment is functioning.
How long will my lung assessment take?
The scan takes approximately 20 minutes.
Who carries out the scan?
Our specialist lung health assessment is carried out by the country’s leading Cardiothoracic Radiologists.
How long will I have to wait for the results?
The results include a specialist report aided by Artificial Intelligence - for nodule detection and volumetry to guide management.
We aim to deliver the results to your NHS GP within 3 working days.
 
                        